

在泸州纳溪区上马镇黄桷坝村,有一位58岁的董阿姨,她身材矮小,从小时候就出现了双下肢跛行的情况。
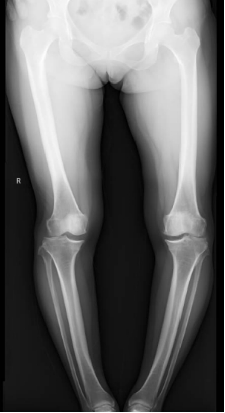
岁月流转,这份不便非但没有减轻,反而随着年岁的增长而日益加重,双膝关节的疼痛与不适如影随形,让董阿姨的生活布满了阴霾。她曾四处求医,却始终未能找到解决这顽疾的良方,走到哪里都难免遭受他人异样的目光。
然而,生活总是充满转机。2024年的夏天,对于董阿姨来说,是一个新的开始。在儿女的陪伴下,她带着一丝希望,慕名来到了泸州市中医医院,找到了骨伤三科主任、四川省名中医——李彬。
李彬在详细了解了董阿姨的病史、进行了全面的体格检查和相关的辅助检查后,组织科室进行了深入的讨论。最终的“答案”是——双膝骨性关节炎、双膝关节畸形、骨质疏松以及双膝半月板损伤。
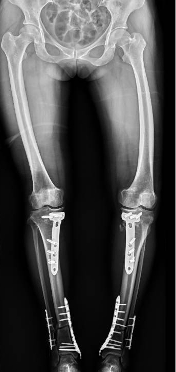
面对这样复杂且严重的病情,李彬并没有退缩。他深知,对于董阿姨来说,这不仅仅是一次手术,更是一次重生的机会。因此,他精心制定了手术方案:对双下肢胫骨近端、远端以及双侧腓骨远端进行截骨矫形,并进行植骨内固定。这样的手术方案,无疑是对医生技术的一次高难度挑战!
手术前 手术后
当手术方案呈现在董阿姨及其家人面前时,他们心中充满了担忧和顾虑。多处截骨后的伤口恢复、患者的承受度、矫正的效果以及手术的费用等问题,都如同沉重的石块,压在他们的心头。面对这些疑虑,李彬多次与患者及家属进行沟通,用他专业的知识和耐心的解释,一一化解他们的担忧。当董阿姨了解到我们医院曾经成功完成过比此更难、更复杂的截骨矫形手术时,增加了能够康复的信心。
2024年8月13日,手术顺利进行。
骨伤三科和手麻科医护团队齐心协力,共同为董阿姨的新生而努力。
手术很成功!经过精心的治疗和护理,董阿姨在9月顺利出院。当她再次站在镜前时,她惊喜地发现自己仿佛长高了一截,那份曾经让她备受折磨的疼痛与不适也逐渐消失了。
【科普】膝关节炎是老年患者膝关节疼痛的主要病因,随着我国逐步进入老年化社会,膝关节疾病患者逐渐增多。保膝治疗,包括通过药物、康复锻炼、理疗等保守治疗。因截骨矫形手术、单髁手术治疗,保留了膝关节的大部分原始结构及原始功能,称为保膝手术治疗。
膝关节截骨矫形是关节外手术,不需要打开关节,只是将原来有畸形的膝关节变直,恢复到良好的正常生理状态,从而消除因关节畸形所致的膝关节疼痛。单髁手术,是通过去除关节内磨损的软骨,放置膝关节内垫块,关节内的骨磨损由垫块替代,从而去除膝关节磨损的疼痛不适症状。
(文/林正宇 图/张敏 骨三 )